
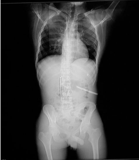
上图:影像显示出小龚腹中有异物。
小伙子,你真是打赌不要命啊
为了6000元赌注,他咬牙吞下了12厘米长的铁钉跟锯条
结果十几天后戳破了胃,命都差点没了
年轻人气盛啊,什么玩笑都敢开,什么赌都敢打。
比如27岁的小伙小龚,跟人打个了吞东西的赌,结果东西是吞下了,现在人也进了医院,差点命都没了。
他吞的是什么东西?不说你根本就想不到:他吞了一根12厘米的螺丝杆,跟一根12厘米的钢锯条!
为6000块赌注
小伙吞下12厘米铁钉和锯条
七八个月前,27岁的小龚从西北老家来宁波谋生,没找到合适的工作,他就在市场里摆摊卖起了小商品。
小龚的生意并不红火,赚不到钱,每天吃住开销却不少。小伙子心里急,到处想着要找“商机”。
结果商机没来,先等到个“偏财”。那天摆摊时,小龚看到有人在和一个陌生人打赌,只要能吞下一段钢锯条,就能赚几千块,如果吞不下,就要给陌生人几千块。那人果然咽下锯条赚到钱了。
小龚居然觉得这方法不错,跟这个陌生人也开了个赌局:吞一根直径约6毫米、长度约12厘米的螺丝杆,赌注是2000元;吞一根成人食指宽、12厘米左右长的钢锯条,赌注是4000元。
6000大洋啊!小龚拼了!
他仰面朝天,把螺丝杆悬到喉咙上方,使劲一咽,吞了下去,眼泪都噎了出来
;“当时我就觉得食道一阵划痛,然后慢慢就好了。”
2000元到手了。小龚再接再厉,又吞下了锯条,拿到了4000元。

下图:手术取出的异物。
挨了十多天才去医院
铁条已经把胃戳破了
钱是进了口袋,吞进肚子里的东西怎么办?
小龚没跟别人说过这事,本以为螺丝杆跟钢锯条在肚子里待几天,总会拉出来的。可是十多天过去了,东西没看到,倒是有一天开始,胃不舒服了。
小龚居然还一直忍着不去医院不告诉别人;直到四五天前,他突然肚子疼得厉害,饭吃不了,腰都直不起来。
更恐怖的是,他用手一摸,居然能感觉到肚子里有硬硬的东西。小伙子胆子再大,这个时候也慌了,赶紧向合租的室友求助:“我肚子里有两块铁,赶紧把我送医院。”
室友吓了一跳,也来不及细问,赶紧把他送到李惠利医院,拍片忙了一圈,结果出来了:小龚的十二指肠有一段异物,另一段异物已经穿破胃壁,抵达腹腔,贴在腹壁上。
看到片子后,给他做检查的普外科副主任季晓春都有点傻了。
做了手术,命保住了
治疗费要花掉一两万
这种情况十分危险,一旦异物穿破十二指肠,或者腹腔的异物带来感染、伤到动脉引起大出血,小龚都有生命之忧。
必须立即手术。李惠利医院副院长李宏亲自上阵参与手术指导,医生们先通过胃镜取十二指肠内的螺丝杆。
但螺丝杆很滑,取物钳很难抓,好不容易抓住后也又滑下去,试了好几次,最终成功取出。
医生又在小龚的腹壁上开了个小口子,把钢锯条拉出来。
手术一共花了约两小时,螺丝被取出时,因为在胃里停留的时间较长,已经被胃液泡的发黑生锈。
季晓春说,常能碰到吞进异物的病人,主要以小孩为主,吞下的一般都是纽扣、硬币、枣核等,吞这么长的异物,还这么晚才来就医,很罕见。
小龚的命保住了,但钢锯条引起了腹腔慢性损伤,局部有发炎化脓的症状,还需要接受抗炎和引流等治疗,如果一切顺利,也要十多天后可能出院。
而为了赚6000元引发的这场意外,预计要让小龚花掉一两万元的治疗费。
本报通讯员 应红燕 本报记者 李竹青
来源:钱江晚报
作者:李竹青
编辑:高芹 实习生 李柯影
时刻新闻